Citopatologie

classificazione delle patologie



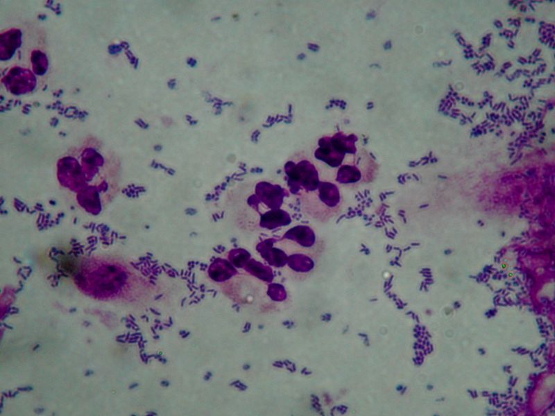
Rinite batterica

In coincidenza della flogosi, compaiono sulla superficie della mucosa respiratoria diverse popolazioni cellulari, residenti o circolanti (neutrofili, linfociti e macrofagi), ed aumentano le cellule epiteliali di sfaldamento, la maggior parte delle quali presenta alterazioni cellulari.
Oltre che da numerosi neutrofili, il quadro microscopico è dominato dalla presenza di colonie batteriche: batteri adesi alla superficie cellulare, e batteri interni ai fagociti (macrofagi e neutrofili).

In associazione alla presenza di batteri e neutrofili si riscontrano, inoltre, le seguenti anomalie citologiche:
1)    diminuito numero di cellule ciliate;
2)    aumento di cellule caliciforme mucipare, cellule  metaplasiche e platicellulari;
3)    aumento di linfociti, macrofagi e plasmacellule.

Importante è seguire queste riniti durante il trattamento medico, con controlli citologici periodici, in quanto solo la notevole riduzione delle cellule della flogosi, e la quasi scomparsa dei batteri nel campione citologico, darà la conferma della risoluzione della malattia.


« Torna indietro

© 2013 Matteo Gelardi - C.F. GLRMTT57R05A662Q. Tutti i diritti riservati.

powered by Comma3 srl ®

Torna su